能使牙齿变白的方法(牙齿贴面美白牙齿)
能使牙齿变白的方法(牙齿贴面美白牙齿)
最近M姐身边有人在问这个问题,我就去医院专门了解了一下,这里就分享给大家:
首先,DIY美白方法不可靠!像活性炭、小苏打什么的牙齿美白方式,都是牙科医生非常不建议的,美白效果尚且没有定论,由于浓度无法准确控制,还会使牙齿表面的牙釉质发生不可逆的磨损!
其次,可适当使用美白牙膏,但是美白牙膏中含有抗氧化物,所以同样也不宜长期使用,最好是和一支普通的牙膏轮换使用,效果同样不可预估。
牙齿美白的正确方式
冷光美白
在牙齿上涂抹药物,通过高频蓝光照射款速发生氧化还原作用,去除牙齿表面及深层附着的色素。做一次能保持两年左右。
优点:对牙齿损伤小,维持时间较长,价格较低
缺点:对医生技术要求较高,牙齿敏感的不适合。

树脂贴面
就是把牙齿表面磨去一层,再用树脂贴面,改善牙齿颜色的同时可时牙齿外观更整齐。
优点:方便快捷,效果显著
缺点:可能发生色素沉着,对牙龈有一定刺激

瓷贴面
跟树脂贴面类似,只是材料不同。改善牙齿颜色的同时可时牙齿外观更整齐。
优点:瓷贴面不易着色,维持时间可达十年左右
缺点:价格较为昂贵,对牙龈有一定刺激

烤瓷牙
就是磨掉部分牙齿,再给牙齿加一个牙冠,也是瓷的,所以牙齿表面不容易着色。最好是全瓷牙哈,金属瓷牙可能会氧化变黑。
优点:可以改善牙齿的外形和排列方式,维持时间10年以上
缺点:价格较贵,对牙齿损耗较大

总的来说,一般的牙齿美白做冷光就好,牙齿有单颗缺损的可以做树脂贴面,多颗轻微缺损或牙齿不齐的可以做瓷贴片,严重缺损的可以做烤瓷牙~按需选择都好,越到后面可选择的方式越少也会更贵,所以大家一定要好好保护牙齿。
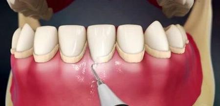
最好是一年左右做一次超声波洁牙,去除牙结石和软垢,防止牙周炎、牙龈萎缩、牙龈出血等问题,好处真的是谁做谁知道!

不过一定要去正规有资质的医院或者机构哈!正规的医院或机构器具必须经过严格消毒,会更安全放心~
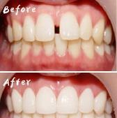
要想有效美白,并且持久度高的话,可以选择牙贴面。
任何治疗都有损伤,好的医生在于懂得,如何在治疗过程中,把损伤降到最低,把效果发挥到最好。
现代粘结技术下,各种因素控制得好,贴面平均可以使用10年以上。(早期贴面因粘结技术所限,脱落率高,如从贴面诞生时追溯,有总结寿命5-10年左右,现代已今非昔比)
很多人牙齿不是黄就是黑,或者颜色不均匀,刷牙是刷不白的。不少美白的方法对牙齿有伤害,现在有一种不伤害牙齿的美白方法,就是超薄牙贴面,只有约0.3mm厚。超薄瓷贴面使用可长达10年至20年之久。然而,患者须定期半年诊查和洁牙以维护超薄牙贴面和患者自身的牙齿,使它们保持最佳状态。
有口腔问题,求助,可以评论我或@我。
weibo:@牙医helen
预约联系方式在每篇头条文章的文末。