肩周炎为何久治不愈,可能忽视了这个重要部位
肩周炎为何久治不愈,可能忽视了这个重要部位
肩周炎近年发病率逐渐高企。很多的肩周炎患者经常在后半夜痛醒,造成睡眠障碍。另外肩膀朝各方向的主动和被动活动均受限,特别是梳头、穿衣、洗脸、叉腰等动作均难以完成。当前治疗肩周炎的手段丰富,包括消炎药物、理疗、功能锻炼及针灸推拿等等。部分肩周炎患者在规范的医疗治疗下能够得到缓解,但也有一部分患者治疗效果不佳,肩部疼痛及活动受限迁延难愈,是什么原因呢?可能忽视了一个重要的病变部位。

最近随着研究的深入及现代检查手段的进步,越来越多的证据表明,原来喙突下撞击也是导致肩部疼痛尤其是肩前部疼痛的重要病理因素。近年来,国外对于该病已经有了更深入的理解及认识,但国内相关文献报道较少,临床医生也未对该病产生重视,诊断及治疗不甚明确。
1 解剖特点
喙突从肩胛颈的上部向前外侧突出,形成一扁平状或钩状结构,向前、外、下作拥抱肱骨头的姿势,是许多韧带、肌腱的附着点,包括喙肱、喙锁、喙肩及肩胛上韧带,以及喙肱、胸小肌和肱二头短头肌腱等。喙突形态因人而异,高度及长度均不尽相同。喙突与盂肱关节及附属结构的解剖位置关系是影响喙突下撞击综合征发生发展的关键。

图1 喙突的不同形态:扁平状(A);钩状(B)
2发病病因及机制
目前该病的发病原因一般归纳为:特发性、创伤性和医源性三大类。特发性病因包括先天性解剖变异、肌腱骨化或钙化及软组织肥大等;创伤性病因包括肩部骨折移位或畸形愈合、肩袖损伤及运动损伤等;医源性病因一般指喙突等肩部相关手术后遗症等。目前该病的发病机制尚具有争议,根据临床经验及既往报道,推测潜在的发病机制有以下三点:
①喙肱间距的缩短:由于喙突的解剖变异,如尖端大、位置低、倾斜度高等,导致喙肱间距的缩短从而引起的撞击,多称为原发性撞击,此类撞击还包括组织钙化、骨化及淀粉样层积等。
②喙突下间隙的内容物增多:外伤等原因导致的喙肱韧带撕裂或肱二头肌长头肌腱脱位等形成瘢痕增生,软组织粘连紧张,使喙突下间隙的内容物增多,导致的喙突与软组织的撞击。
③肩关节不稳,肱骨头前移:在投掷类及羽毛球类等长期上肢过顶的运动员或爱好者人群,由于关节的极限拉伸,关节囊及支持韧带松弛,前方阻挡作用下降,导致肩关节前方不稳,外展外旋位可使肱骨前方移位,导致与喙突的撞击发生。
3如何诊断?
喙突下撞击综合征的发病隐匿,通常容易与肩峰下撞击、肩周炎及肩袖损伤等肩部疾病混淆,另外由于对该病的认识不全,容易引起漏诊及误诊。该病的诊断多依赖于临床体征、体格检查及影像学检查。患者临床常表现为肩关节前方非特异的钝性疼痛,肩关节前屈、内收及内旋时疼痛加重。常在患者开车、黑板写字及投掷时疼痛出现并加重。疼痛可累计上臂及前臂,因此诊断时需与颈椎病相鉴别,详细的体格检查是必须的。触诊时喙突外侧缘或前侧压痛,上肢水平内收、内旋活动受限。
因此,综合目前的研究,喙突下撞击具有以下典型特征:
①肩关节前屈、内收及内旋时出现或加重疼痛;
②肩前部钝痛,伴或不伴前臂的放射痛;
③喙突外侧或周围压痛;
④改良Hawkins-Kennedy试验阳性(图2a),Yokum试验阳性(图2b);

图2 改良Hawkins-Kennedy试验(a):在Hawkins-Kennedy试验的基础上将患者上臂内收内旋,从而减小喙肱间距;Yokum试验(b):患者将患侧手置于对侧肩上,健侧手置于肘弯处向下方用力,患者则用力等长收缩抵抗,如果疼痛出现或再现即为阳性。
4影像学检查
①X线检测:能够发现喙突的异常结构,并且初步进行喙肱间距的测量。
②CT检测:随着近年CT三维重建技术的发展,可以对肩部骨性结构的异常进行直接的分析。
③B超检测:B超能够清楚的显示肩袖等组织的病理改变,并且具有快速、安全和检查成本低的特点,可以进行双侧及动态监测。但是该技术对于操作者的经验及技术有较高要求,目前普及度不高。
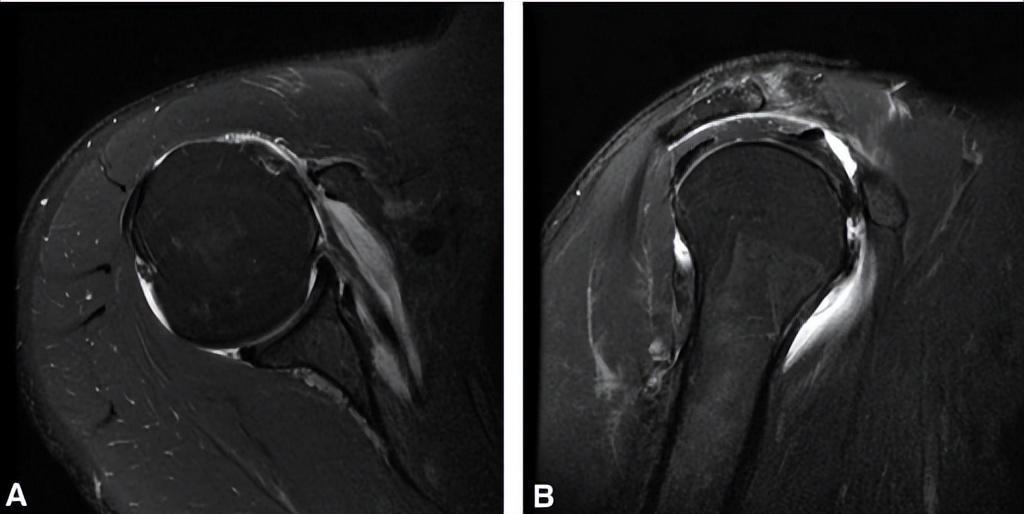
④MRI检测:MRI由于能够清晰的显示骨组织及软组织,以及软组织的炎症状态,已经成为肩关节最重要的检查手段(图3)。
⑤关节镜检查:关节镜能够直接的、动态的观察喙突和肱骨撞击面的损伤情况,以及喙肱间隙内软组织的损伤、变性情况,具有很高的诊断价值,但该检查具有侵入性、创伤性,多用于诊断、治疗联合实施。

图3 轴向(a)和矢状位(b)MRI能够显示狭窄的喙肱间距及肩胛下肌腱损伤以及局部炎症。
5如何治疗?
5.1保守治疗:
(1)行为控制,力量训练:训练调整肩胛下肌的倾斜角和加强肱骨头平衡性,加强盂肱关节囊、肩胛下肌腱的力量。
(2)局部封闭治疗:喙突下间隙局部注射皮质类固醇具有一定的效果。定位的准确性是关键,可以采用B超辅助。
(3)中医药治疗:包括推拿手法、小针刀、中药内服外用均有一定疗效。
5.2手术治疗:
(1)开放手术:胸三角肌入路实施喙突成形术或喙突减压术。
(2)关节镜手术:随着技术进步,关节镜下实施喙突成形术已成为越来越多医者的选择。
6小结
目前有越来越多的文献开始对喙突下撞击的病理过程进行研究。但由于肩关节的复杂结构,以及该部位的解剖变异等,导致该病的诊断及治疗尚未达成共识。临床遇到肩前疼痛患者,喙突下撞击综合征应该被纳入首要考虑诊断范围之内。
首先通过仔细的临床查体及体格检查试验初步分辨,进一步通过MRI和B超测量喙肱间距和辨别损伤结构可对该病进行诊断。保守治疗是该病的首选方案,保守治疗失败可采用手术治疗,尤其是关节镜手术有很好的疗效和被接受性。